美牙百科

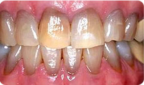
四环素牙

作者:名医看牙

概述:

四环素牙是由于母亲或婴幼服用四环素族药物,如四环素、土霉素、新霉素等引起的牙齿 变色及损害。为防止四环素牙的发生,妊娠4个月至分娩前的孕妇和授乳的母亲及岁以下 的儿童,不宜使用四环素。

原因:

1) 四环素族药物本身的颜色,如:去甲基金霉素呈镉黄,土霉素呈柠檬黄色。

2) 降解四环素而呈的色泽,因为四环素对光敏感,可以在紫外线或日光下变色。

3) 四环素在牙本质内,因结合部位的深浅而使牙本质着色的程度有所不同,当着色带越靠近釉牙本质界时,越易着色,因而在婴儿早期形成外层牙本质时,用药影响最大。

4) 与牙釉质本身的结构有关,在严重牙釉质发育不全,牙釉质完全丧失时,则着色的牙本质明显外露;如果轻度牙釉质发育不全,牙釉质丧失透明度而呈白垩色时,可遮盖着色的牙本质,反而使牙色接近正常。

常见问题:

Q:遇到四环素牙应该怎么治疗?

A:四环素牙是属于内源性牙齿变色,这时通过洗牙以及刷牙是不能解决的,需要通过牙齿美白方式才行,而牙齿美白方法要视情况来选择,如:
一、轻度四环素牙:轻度的四环素牙基本上也不是很难看,这时可以考虑做冷光美白,对牙齿颜色的改变有很好的效果,而且需要的时间短,只需要半个小时就可以完成。
二、中度四环素牙:瓷贴面是个不错的选择。瓷贴面修复是把牙齿表面磨去一层,然后用材料直接或间接粘结覆盖,色泽自然美观,耐磨性好,而且组织相容性也非常的好。
三、重度四环素牙:选择烤瓷牙比较好。烤瓷牙的特点是能恢复牙体的形态功能,抗折力强且颜色、外观逼真,表面光滑,耐磨性强不会变形,色泽稳定。属于永久修复体。